Usluge
12. окт 2022.
Izbeljivanje zuba predstavlja savremenu metodu pomoću kojom se na vrlo jednostavan i brz način dolazi do svetlijih, beljih, estetski prihvatljivijih zuba. Beljenje zuba je nezaobilazan deo u estetskoj stomatologiji.
Dr Jelena Brkić

Izbeljivanje zuba predstavlja savremenu metodu pomoću kojom se na vrlo jednostavan i brz način dolazi do svetlijih, beljih, estetski prihvatljivijih zuba. Beljenje zuba je nezaobilazan deo u estetskoj stomatologji. Ukoliko ste zadovoljni oblikom i izgledom svojih zuba, vratite im belinu ordinacijskim beljenjem.
Preduslov za ovu stomatološku uslugu jeste da imate popravljenje sve zube. Potrebno je znati da je pre beljenja neophodno ukloniti sve čvrste i meke naslage, sanirati sve kvarove. Takođe bitna informacija je da se beljenjem neće izbeliti postojeće plombe u ustima, kao ni krunice, te je potrebno konsultovati se sa stomatologom oko ove problematike.
Na boju i Vaš osmeh utiče dosta faktora. Uzroci mogu biti unutrašnji (genetika, promene nastale tokom formiranja tvrdih zubnih tkiva, odnosno razvoja zuba, uglavnom pod uticajem medikamenata), i spoljašnji (način života, konzumacija obojenih proizvoda-hrane i pića, cigarete, neadekvatna oralna higijena). Ukoliko postoji promena samo na jednom zubu, ona je najčešće posledica traume ili lečenja zuba, odnosno endodontske terapije. U ovakvim slučajevima boja se dosta teško može vratiti u prvobitno stanje. Rešenje može biti postavljanje fasete ili jedne (solo) krunice. Ukoliko pak niste sigurni koja bi opcija bila za vas najoptimalnija, naša stomatološka ordinacija priža informacije i konsultacije koji su besplatne.

Nakon što izrazite želju za postizanjem par nijansi svetlijih zuba, Vaš stomatolog će se odrediti postupak izbeljivanja zuba koji je prilagodjen Vama. Takođe ćemo Vas upoznati sa očekivanjima, trenutnim statusom, kao i stilom života koji je potrebno voditi nakon beljnja kako bi očuvali postignutu belinu.
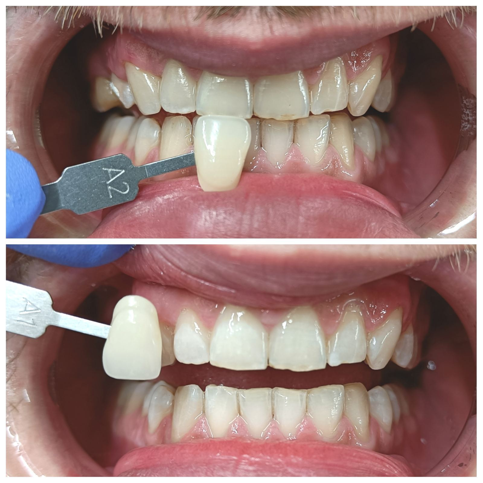
Metoda ordinacijskog beljenja traje oko sat vremena i rezultati su vrlo brzo vidljivi. U procesu izbeljivanja koriste se gelovi vodonik peroksida visoke koncentracije, pri čemu su desni zaštićene posebnim gelom nanetim pre početka beljenja, kako ne bi došlo do kontakta izbeljivača sa mekim tkivima. U ustima pacijenta, tokom beljenja, odigrava se proces oksidacije, koji je potpuno bezbedan za tvrda zubna tkiva. Tokom samog procesa ili neposredno nakon završetka, može se javiti osetljivost zuba na nadražaje koja je prolaznog karaktera i ne treba da izaziva zabrinutost.
Pacijenti koji nemaju vremena da ordinacijski izbele zube ili ukoliko žele znatno belje zube u odnosu na boju zuba sa kojom su se javili stomatologu, potrebno je usmeriti se na kućno izbeljivanje. Na osnovu otiska vilica, u laboratoriji se izrađuju individualni splintovi koje pacijent nosi najčešće noću. U ovom slučaju koriste se izbeljivači znatno nižih koncentracija, ali i dalje pod kontrolom stomatologa. Pogodnost kućnog beljenja je praćenje efekta izbeljivanja iz dana u dan, odnosno prestanak beljenja po dostizanju željene nijanse.
Svakako da je nekada potrebna i kombinacija ove dve metode, kako bi se ispunila očekivanja pacijenta i došlo do savršeno blistavog osmeha.
Pogledajte naše rezutate u galeriji osmeha a cene možete videti na našem aktuelnom cenovniku.
Preparati koje koristimo u našoj ordinaciji su od renomiranog proizvođača , vrlo su sigurni za tvrda zubna tkiva, daju prilično dugu stabilnost nijanse, minimalnu preosetljivost, i vrlo jednostavno se koriste. Značajan podatak je da su skoro neutralnog PH (ne oštećuju gleđ), i imaju integrisanu formulu za izrazito smanjenu osetljivost, tako da se dodatni preparati uglavnom ne moraju koristiti.
Efekat beljenja može trajati godinama i u direktnoj je vezi sa vašim navikama, odnosno održavanju pravilne higijene usta i zuba, kao i navike konzumiranja obojenih napitaka i cigareta. Primetno je da su pacijenti koji se izbelili svoje zube, značajno smanjili unos pigmenata kroz hranu i pića svojevoljno, kao i da se pacijenti nisu vratili na svoju početnu boju zuba.
U nastavku se nalazi ključ boja poređan prema svetlini zuba. Koja je vaša trenutna boja, a koju biste želili imati?

Neka estetska stomatologija i beljenje zuba budu u službi Vašeg osmeha.
Naša stomatološka ordinacija je za vas pripremila korisne savete. Sve stomatološke usluge i cene na jednom mestu možete videti u okviru našeg aktuelnog cenovnika.
Brkić dent stomatološka odrinacija iz Novog Sada je tu za Vas. Pišite nam putem email-a ili društvenih mreža. Naš tim će rado odgovoriti i dati Vam besplatan savet.